讀賣新聞 「医療ルネッサンス」 より
- 定期的な歯のクリーニングで長寿に
- 口腔ケアには自分で行うセルフケアーと歯科医院で行うプロフェショナルケアがあります。一生自分の歯で過ごすためにはこれらの二つのケアを続けることが大切です。患者さんと歯科医がパートナーとなって、歯や口そして全身の健康を守りましょう!このようなかかりつけ歯科医による歯のクリーニングを受けている方は長寿というデータが出ています。
文献 : 星 旦二、田野ルミ
「健康寿命を延ばす歯科保健医療」 2〜22C1
かかりつけ歯科医と生存維持 医歯薬出版 東京 2009
古屋歯科医院でのメンテナンス

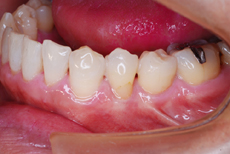
- セルフケアを熱心にやられている方です。歯のクリーニングを受けに来られた時の状態です。一見良さそうです。

- プラークを染め出してみると、特に歯ぐきの部分が赤く染まりました。赤く染まったプラークはバイ菌なので要注意です。

- プロフェッショナルケアで歯のクリーニングをした後の写真です。歯の表面にフッ素とアパタイトを塗るので白く輝きます。
古屋歯科医院の歯のメィンテナンスでは上記の歯のクリーニングと一緒に、歯周ポケットのクリーニングを行っています。健康維持にはこれら両方のクリーニングが必要です。


超音波を使用して、歯周ポケット内の歯周病菌を除きます。定期的に行うと効果があります。


